


Full-mouth rehabilitation with lower complete prosthesis
Scaling, staged extractions & lower complete denture
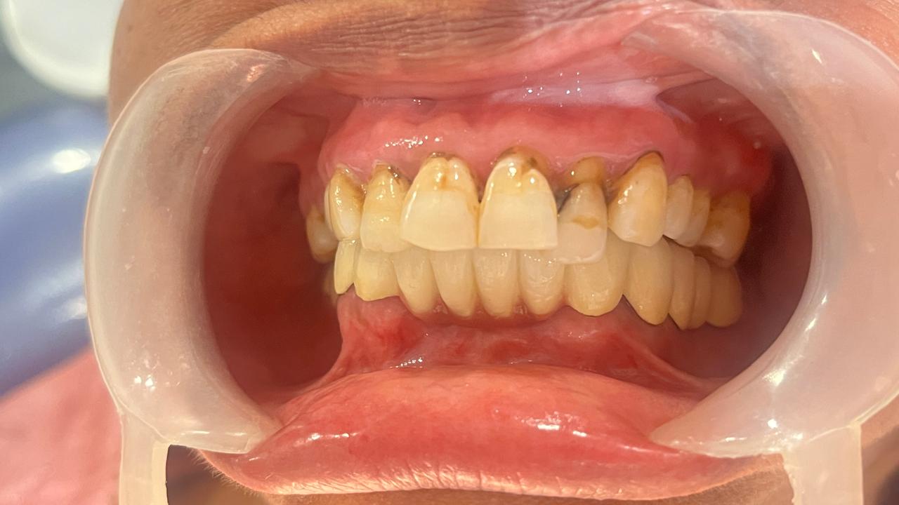
A senior patient from Nikol came in with heavy calculus, periodontally compromised lower teeth, and significant difficulty chewing. Dr. Zalak staged the treatment carefully — starting with deep scaling and oral hygiene stabilisation, followed by planned extractions of non-restorable lower teeth, a two-week healing window, and finally a lower complete prosthesis fitted chairside with bite registration and phonetic trials. The patient walked out on day of delivery eating soft food the same evening.
Before. Pre-treatment: heavy tartar, periodontally compromised lower teeth beyond restoration, compromised mastication.
During. Mid-treatment: impression and bite registration for the lower complete denture, captured at the chair.
After. Post-delivery: lower complete prosthesis seated with balanced occlusion — full chewing function and a restored smile line.







